Bardzo istotnym elementem badania ultrasonograficznego jamy brzusznej jest ocena przepuklin. Istotą tej sytuacji klinicznej jest obecność przerwy w mięśniowo-powięziowej ścianie jamy brzusznej, przez którą do tkanki podskórnej (na ogół) uwypukla się zawartość jamy otrzewnowej. Najczęściej w postaci tłuszczowej tkanki trzewnej bądź tłuszczowej tkanki trzewnej oraz jelit.
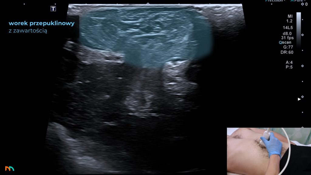
Z ultrasonograficznego punktu widzenia taka przepuklina składa się z:
- wrót przepukliny
- worka przepuklinowego
- oraz jego zawartości

Wrotami przepukliny mogą być miejsca, które anatomicznie mają słabszą strukturę, na przykład pierścień pachwinowy, kresa biała w okolicy pępka. Przepukliny brzuszne mogą mieć również charakter jatrogenny – możemy stwierdzić przepuklinę w bliźnie pooperacyjnej.
Często jest tak, że zawartość worka przepuklinowego przemieszcza się swobodnie we wrotach, co powoduje, że w trakcie badania w pozycji leżącej przepuklina może się spontanicznie odprowadzić, co powoduje że jest niewidoczna!
Koniecznym do zobrazowania przepukliny staje się manewr Valsalvy, prowadzący do zwiększenia ciśnienia w jamie brzusznej oraz do powrotu zawartości do worka przepuklinowego.
Bywa, że pacjent ma trudności z prawidłowym przeprowadzeniu manewru Valsalvy, w takich sytuacjach dobrym rozwiązaniem może być badanie przepukliny w pozycji stojącej.
Poza oceną występowania przepukliny, okolicy w jakiej znajdują się wrota oraz zawartości worka przepukliny bardzo istotną kwestią jest stwierdzenie cech uwięźnięcia/zadzierzgnięcia przepukliny.
Odpowiedzi