U osób dorosłych na ogół w badaniu USG nie jesteśmy w stanie zobrazować nadnerczy. Gruczoły te są małe, wąskie, położone głęboko w przestrzeni zaotrzewnowej i słabo separują się tle tych tkanek. Naszym celem jest przede wszystkim zlokalizowanie i zobrazowanie pól nadnerczowych i stwierdzenie bądź wykluczenie obecności w tych okolicach jakiś zmian bądź nieprawidłowości.
Bywa, że u dorosłej osoby, która jest bardzo szczupła możemy zobrazować samo nadnercze, pod postacią wąskiego pasma tkankowego w obrębie prawego pola nadnerczowego (w przypadku lewego jest to raczej niemożliwe, dlaczego tak jest przeczytasz poniżej), ale i tak obraz ten nie jest na ogół spektakularny.
U noworodków, niemowląt i małych dzieci sytuacja jest inna. Nadnercza u tej grupy pacjentów są dużo większe w porównaniu do reszty ciała, dlatego są dużo lepiej widoczne. Bywa, że możemy, poza zarysami nadnerczy, u najmłodszych dzieci dostrzec nawet bardzo charakterystyczną, warstwową echostrukturę z wyraźnym podziałem na korę i rdzeń.

Jak zlokalizować pola nadnerczowe u dorosłego pacjenta?
Świetnym drogowskazem, choć nie jedynym, są górne bieguny nerek. Oczywiście dotyczy to pacjentów z typowymi stosunkami anatomicznymi! Należy zdawać sobie sprawę z tego, że ektopie nerek są dość powszechne, w takich sytuacjach nie mogą nam pomóc w lokalizowaniu pól nadnerczowych.
Pola nadnerczowe typowo zlokalizowane są (w stosunku do górnych biegunów nerek):
- dogłowowo
- do przodu
- nieco przyśrodkowo
Po prawej stronie pole nadnerczowe jest łatwiejsze do zlokalizowania i zobrazowania. Zazwyczaj mamy bardzo dobre okno akustyczne w postaci prawego płata wątroby. Do tego mamy dodatkowy punkt nawigacyjny w postaci żyły głównej dolnej. Warto zatem zapamiętać, że prawe pole nadnerczowe położone jest pomiędzy górnym biegunem nerki prawej, a żyłą główną dolną, poniżej i do tyłu względem prawego płata wątroby. W tej okolicy w prawidłowych warunkach stwierdzamy jednorodny, echogeniczny obszar tkanek zaotrzewnowych i to właśnie tam znajduje się nadnercze. W przypadku gdy nie widzimy w tym obszarze żadnych separujących się ognisk, uznajemy że obraz pola nadnerczowego jest prawidłowy.


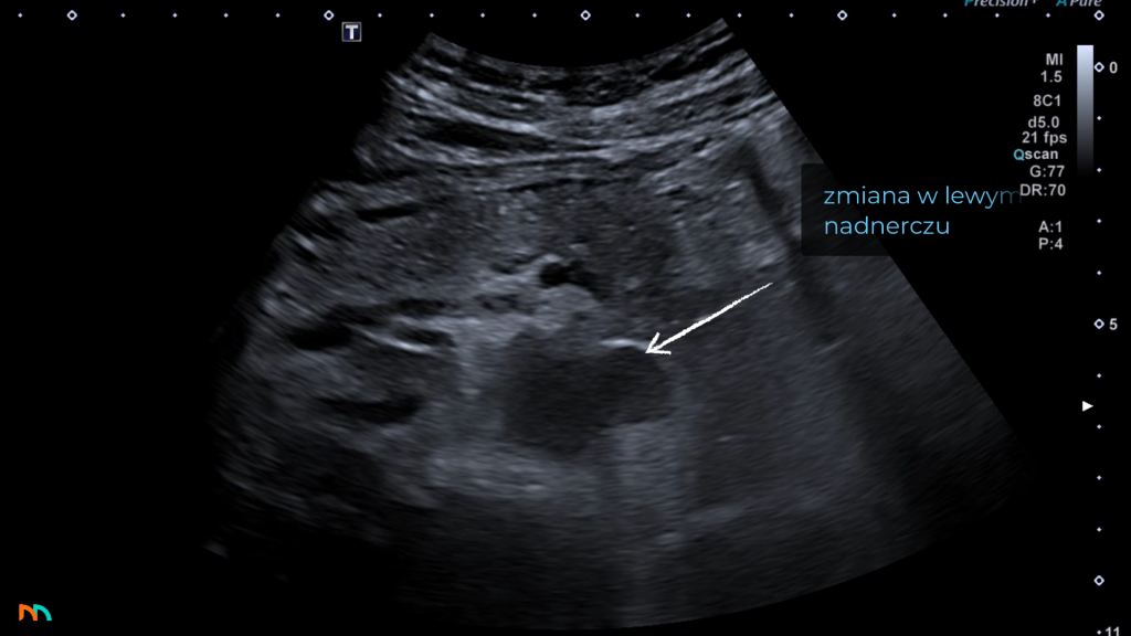
Po stronie lewej sytuacja jest nieco bardziej, z punktu widzenia ultrasonografii, złożona. Samo położenie pola nadnerczowego jest podobne jak po stronie prawej, szukamy go dogłowowo, do przodu i przyśrodkowo w stosunku do bieguna górnego nerki lewej. Niestety w tej lokalizacji nie mamy okna akustycznego w postaci wątroby, a żołądek oraz zagięcie śledzionowe okrężnicy, które często skutecznie ten obszar przesłaniają. Mimo to w badaniu nie powinniśmy pomijać tej okolicy. W związku z trudniejszymi warunkami insonacji stwierdzamy zmiany nadnercza lewego, dopiero gdy osiągną odpowiedni kaliber, w praktyce jest to średnica 20-30mm. Zdarza się, że zmian ogniskowych lewego nadnercza nie jesteśmy w stanie zobrazować, nawet wiedząc o ich obecności z innych badań obrazowych.


U szczupłych pacjentów możemy zlokalizować pole nadnerczowe nieco na lewo od aorty, umieszczając głowicę wysoko w nadbrzuszu, w okolicy wyrostka mieczykowatego


Odpowiedzi
Musisz się zalogować, aby móc dodać komentarz.
Dzień dobry.a gdzie jest lekcją o zmianach ogniskowych nadnerczy?
Hej, w lekcji o nadnerczach, temat “zmiany w nadnerczach” 🙂