Wyobraź sobie, że pełnisz dyżur na SOR, podczas pracy pada komunikat przez radiostacje „jedzie do was niestabilny pacjent we wstrząsie, po wypadku i tępym urazie brzucha, zespół będzie za 10 minut”.
Taka sytuacja nie należy do rzadkich. Zaplanowanie pracy zespołu urazowego oraz zapewnienie potrzebnego zaplecza diagnostycznego dla takiego chorego są kluczowymi elementami zwiększającymi szanse na przeżycie pacjenta po urazie. W warunkach szpitalnych taki pacjent może zostać zbadany za pomocą tomografii komputerowej, jednak na miejscu zdarzenia lub w przypadku niestabilnego hemodynamicznie pacjenta takie badanie może być niedostępne lub też niemożliwe do wykonania w sposób bezpieczny.
Naprzeciw badaniu tomograficznemu wychodzi diagnostyka USG „point of care”, która w szybki i bezpieczny sposób ma umożliwić prowadzenie diagnostyki pacjentów w ciężkim stanie, bez potrzeby wykorzystania skomplikowanych badań, które nie rzadko mogą być niebezpieczne u pacjentów w stanie zagrożenia życia. Często wiedza o rozległości urazu lub np. fakcie obecności wolnego płynu w jamie brzusznej może znacznie przyśpieszyć proces terapeutyczny oraz skrócić czas od momentu przekazania pacjenta przez Zespół Ratownictwa Medycznego (ZRM) do podjęcia celowanego leczenia np. na bloku operacyjnym.
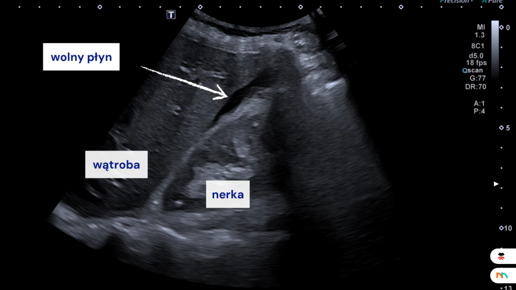
Aby zwiększyć przeżywalność pacjentów dotkniętych urazem oraz dać możliwość prowadzenia diagnostyki obrazowej już w warunkach przedszpitalnych wprowadzono do użytku w 1996 r. protokół USG FAST (Focused Assessment with Sonography for Trauma). Dodatni wynik badania FAST jest jedną z ważnych przesłanek w decyzji o wczesnej interwencji chirurgicznej np. laparotomii. Schemat badania jest bardzo uproszczoną formą pełnego badania ultrasonograficznego jamy brzusznej i jego celem jest odpowiedz na pytanie czy w jamie brzusznej obecny jest wolny płyn.

FAST umożliwia wiarygodną ocenę wolnego płynu w jamie brzusznej poczynając od objętości 200 ml. Protokół ten nie daje bezpośredniej odpowiedzi na pytanie co jest przyczyną krwawienia tylko stwierdza fakt wystąpienia wolnego płynu. Badanie USG wg protokołu FAST wykonuje się w Europie od lat 70-tych. Bardzo szybko znalazło ono wielu zwolenników, w tym wśród lekarzy radiologów, którzy podkreślają pozytywne cechy badania, mogące przyczynić się do zwiększenia szans na przeżycie pacjentów po urazach wielonarządowych.
Odpowiedzi